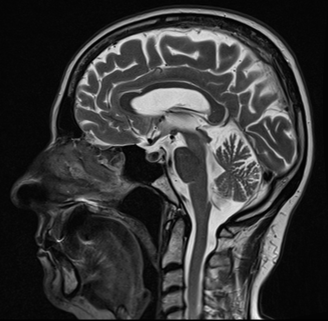
Digital CT Exchange for Customized Bone Graft Implants

Client Background A leading European biomedical company, specialising in patient-specific bone graft implants, faced limitations with its traditional workflow for handling CT scans. For years, surgeons sent CT images on physical discs by courier. While reliable, this method was slow,…









